нейронная сеть для диагностики пневмонии по рентгеновским снимкам
Помощь врачам с помощью искусственного интеллекта

Команда проекта









Рогозин Кирилл

Организатор проекта. Программист, руководитель.

Придумал идею проекта и написал программный код нейронной сети

Проблема

В связи с коронавирусной инфекцией(COVID-19) в медицинской сфере деятельности не хватало персонала. Причиной этому было большое количество заболеваний, как лёгких, так и сложных форм, вследствии персонал не успевал делать диагностику

Актуальность
Коронавирусная инфекция или же COVID-19 - потенциально тяжелое заболевание, которое может протекать как в форме острой респираторной вирусной инфекции легкого течения, так и в тяжёлой форме. Вследствие COVID-19 или же как осложнение может быть вызвана пневмония. Когда было много случаев заболевания коронавирусной инфекции, как легкой, так и тяжелой, персоналу нужно было обследовать каждый случай. Поэтому в больницах, и в общем в медицине была нехватка персонала. Соотношение было 2 пациента к 1 врачу-рентгенологу, работа рентгенолога непростая и небыстрая, поэтому им не хватало времени найти тяжёлые случаи. Я могу предложить внедрить нейронные сети в медицину для помощи поиска тяжелых форм заболевания
Обзор аналогов
Аналог
Описание
Плюсы
Минусы
КТ-калькулятор
Нейронная сеть, которая оценивает степень развития пневмонии по анализу крови

Доступность
Меньшая точность
(90%)
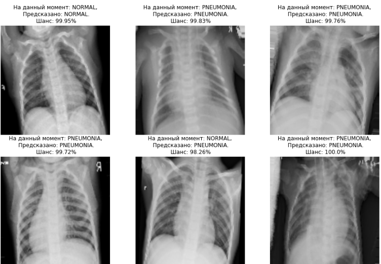
Вывод: Моя нейронная сеть диагностирует пневмонию по ренгеновским снимкам, но для этого нужен томограф или рентгеновский аппарат. Данные приборы есть не во всех городах из-за этого доступность моей нейронной сети чуть ниже, но точность достигает 96-97%, этот показатель является наиболее лучшим
Цель моего проекта
Организация помощи врачам-рентгенологам посредством создания нейронной сети для диагностики пневмонии по рентгеновским снимкам к апрелю 2023 год
Задачи
Познакомиться со средством разработки
Изучить Python-библиотеки для нейронной сети
Найти DataSet для обучения нейронной сети
Создать и обучить нейронную сеть
Стейкхолдеры проекта
Министерство здравоохранения Российской Федерации
Потенциальный стейкхолдер
Заинтересованы в облегчение работы врачей-рентгенологов
Администрация города Воткинск
Потенциальный стейкхолдер
Заинтересованы в облегчение работы врачей-рентгенологов
Подготовка
  1. Выбор среды разработки
  2. Изучение и установка Python-библиотек
  3. Поиск наборов данных для обучения
Основа
  1. Работа с данными
  2. Создание нейронной сети
  3. Оптимизация нейронной сети(ADAM)
  4. Обучение нейронной сети
Заключение
  1. Тестирование
  2. Вывод результатов
Экономика проекта
Работа над проектом
Оплата работы организатора проекта, который работал программистом и руководителем может быть от 75.000 рублей
Арендование хостинга
Арендование хостинга для размещения проекта стоит от 210 рублей в месяц, но для улучшение нейронной сети нужно арендовать хостинги от 9.300 рублей
Итог
Конечная сумма проекта от 85.000 рублей
Достижения в проекте
Готовая модель свёрточной нейронной сети
Улучшение умственных навыков в сфере нейронных сетей
Улучшение коммуникабельных навыков
Артефакты проекта